服务热线
15157931817

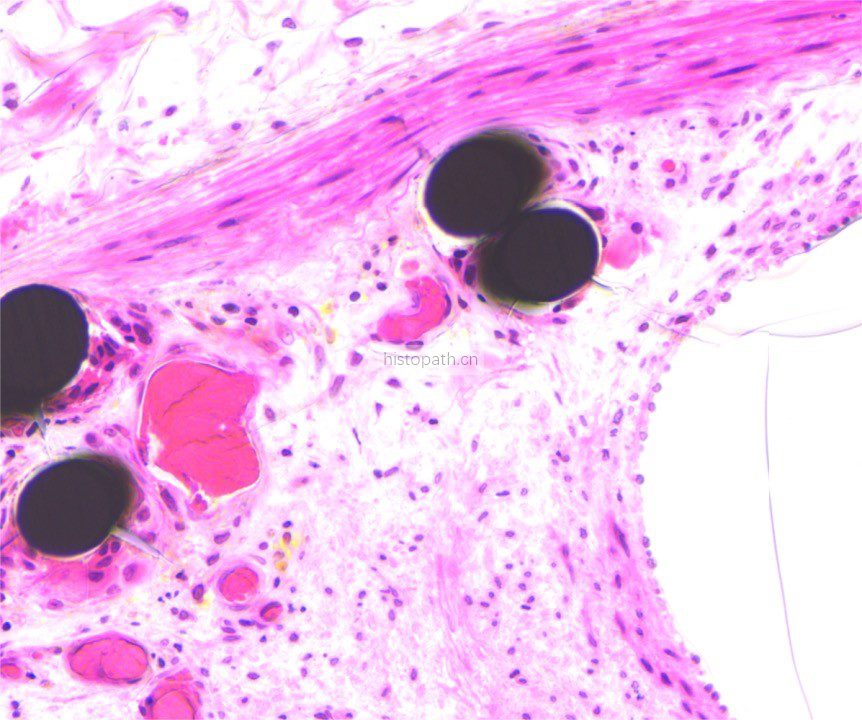
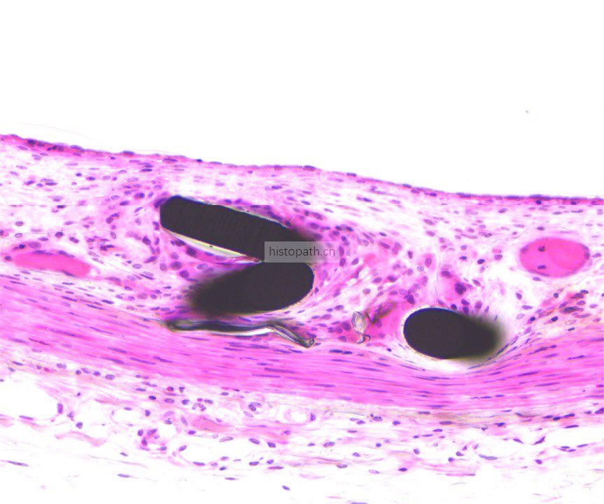
使用德国EXAKT切磨系统进行硬组织切片,特别是对于含有金属这类植入物的组织,是一种精确的组织切片技术。
服务内容
1、样本分切
兔,犬,羊,猴等大动物含金属植入物骨、血管、牙齿等组织超过1cm的样本在浸润包埋前,均需用专门的设备进行分切成3mm左右的薄片后再进行后续操作,可以提高后期制片的成功率,带金属植体的样本分切困难,很容易因为植体硬度和样本硬度不一样,造成分切过程中组织损坏,所以需要专门设备进行分切。
2、样本包埋
各类尺寸的含金属植入物骨、牙齿、血管等硬组织样本脱水,7200树脂浸润包埋,后期用标准尺寸(25mm*75mm)的树脂片进行切磨片处理。
3、样本切片
将包埋好的硬组织树脂块,用EXAKT 硬组织切片机先切一个200um的厚片,然后再通过EXAKT 硬组织磨片机将其磨到20-30um薄片,样本是已经硬组织包埋好的含金属的动物样本。
具体步骤:包埋块修开切面抛光-平行粘片装置粘片-硬组织切片机切片-硬组织磨片机磨片抛光成片。
4、染色处理
针对不同的病理阅片指标需求,行HE染色、Masson染色、亚甲基蓝-酸性品红染色、VG染色、Movat染色等。
5、样本粘合
滴入7210进行切片粘合。并压平以去除气泡。之后行镜检和扫描。
必须是数字
不能为空
E-mail格式不对
手机号格式不对
不能为空
不能为空