服务热线
15157931817
阿利新蓝染色原理:
阿利新蓝(Alcian)又称爱先蓝或阿尔辛蓝等,是一种类铜钛花青共轭染料,这种阳离子染料与酸性基团结合,即阿尔辛蓝与组织内含有的阴离子基团如羧基和硫酸根形成不溶性复合物。阿利新蓝由中央含铜的酞菁环与四个异硫脲基通过硫醚键相连而成。该异硫脲基呈中度碱性,使阿利新蓝带阳离子。利用染液的不同pH值可区分粘液物质的类属,pH 值为2.5时组织内的羧基电离,带有一个负电荷,与阿利新蓝中的阳离子形成盐键,是带有羧基的组织(如蛋白多糖/透明质酸以及上皮酸性黏蛋白)染色。pH值为1.0时,组织内的硫酸根电离,带有一个负电荷,与阿利新蓝中的阳离子形成盐键,使带有硫酸根的组织(如硫酸黏液物质)染色。中性黏蛋白(如胃黏膜和Brunner腺体部位的中性黏蛋白)不能与阿利新蓝反应。
染色步骤:
(1)脱蜡至水:二甲苯Ⅰ5min,二甲苯Ⅱ5min,二甲苯Ⅲ5min,无水乙醇1min,95%酒精1min,75%酒精1min,自来水冲洗数秒。
(2)滴加Alcian酸化液3min。
(3)1%的阿利新蓝染液染色30min或在37°C下15min。
(4)自来水稍洗。
(5)核固红复染5~10min。
(6)自来水稍洗。
(7)95%乙醇脱水两次,每次大于2min。
(8)无水乙醇浸泡两次,每次大于2min。
(9)二甲苯浸泡两次,每次大于2min,中性树胶封固。
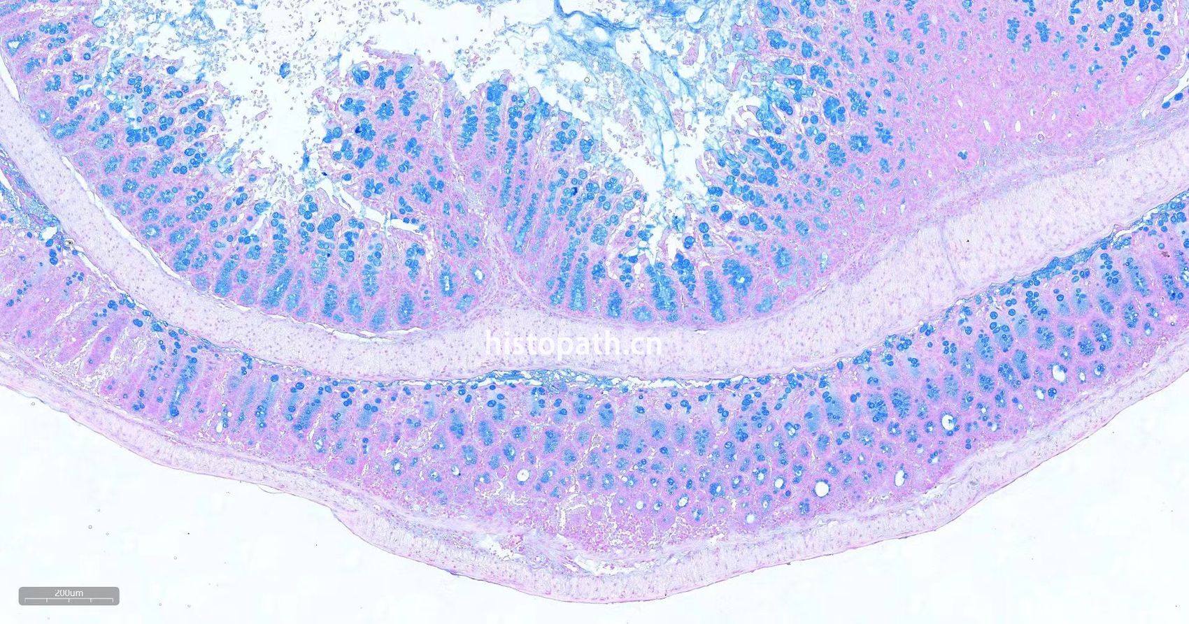
染色结果:
         酸性硫酸化粘液物质:蓝色
透明质酸:蓝色
唾液黏蛋白:蓝色
细胞核:红色
瑞士肠卷阿利新蓝染色:

必须是数字
不能为空
E-mail格式不对
手机号格式不对
不能为空
不能为空